3 клиники по городу Контакты и схема проезда
+7 861 298-47-83 Ежедневно с 08:00 до 20:00
Рассчитать стоимость
  • Клиника на Московской
  • Клиника на Героя Николая Шевелёва
  • Клиника на Героя Бочарникова

Установка брекетов

быстрое решение

С помощью уникального подхода к лечению исправим прикус и улучшим стоматологическое здоровье на всю жизнь

Рассчитать стоимость
идеальная улыбка
  • Подберем вариант
    под ваш бюджет
  • Гарантия на работу
    и результат
5.0
347 отзывов

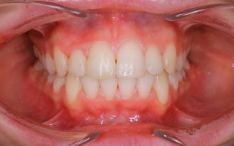
Что такое брекеты

Брекет-системы — ортодонтические несъёмные конструкции (аппараты) для выравнивания неправильного прикуса и неровности зубного ряда.

Устройство в виде замочков на зубах, которые фиксируются при помощи ортодонтического клея (бонда) на наружную или внутреннюю поверхность зубов и объединяющей их дуги.

  • Основание брекета с помощью композиционного материала приклеивается к эмали зуба.
  • В паз брекета вставляется ортодонтическая дуга. Некоторые виды брекетов имеют дополнительный паз для вспомогательных элементов.
  • С помощью крыльев на брекет крепятся лигатуры — элементы, с помощью которой дуга закрепляется по отношению к брекету.

Давайте пообщаемся:ответим на все вопросы

Тяжельников Владимир
Юрьевич
Cтоматолог-ортодонт, гнатолог.

Расскажем все об установке брекетов и сориентируем по стоимости установки

Соглашаюсь на обработку персональных данных и с условиями политики конфиденциальности

стоит ли устанавливать брекеты, особенно во взрослом возрасте?

Плюсы
  • Эффективная коррекция прикуса брекеты устраняют самые разные дефекты прикуса, включая перекрестный, глубокий и открытый прикус.
  • Выравнивание зубного ряда при любой степени кривизны брекеты помогут добиться ровного ряда зубов.
  • Улучшение жевательного аппарата правильное положение зубов и прикус способствуют эффективному разжижению пищи.
  • Эстетика красивая улыбка улучшает самооценку пациента, делает его более уверенным в общении.
  • Долгосрочный результат результаты, сохраняются на долгие годы при соблюдении рекомендаций специалиста.
  • Прогнозируемый результат современные технологии позволяют ортодонту заранее просчитать ожидаемый итог коррекции.
Минусы
  • Боль или дискомфорт первые дни могут сопровождаться дискомфортом, который со временем уменьшаются.
  • Сложности с гигиеной рта брекеты требуют более тщательного ухода со специальными средствами для гигиенического ухода.
  • Эстетические ограничения металлические брекеты могут вызывать стеснение. Однако керамические варианты, менее заметны.
  • Ограничение в пище необходимо избегать твердую, липкую и очень жесткую пищу, чтобы предотвратить повреждение брекетов.
  • Осложнения если не обеспечивать должный уход, возможны осложнения в виде кариеса, пародонтоза.
  • Длительное лечение процесс выравнивания зубов может занять несколько лет, что требует терпения и дисциплины.

Рассчитаем стоимость установки брекет-системы под ваш случай

  • Для чего Вам брекет-система

    01 /04
    Готово: 0%
  • Какие брекет-системы вы бы хотели себе поставить?

    02 /04
    Выберите один или несколько вариантов
    Готово: 20%
  • На какую челюсть хотите установить брекет-систему?

    03 /04
    Готово: 40%
  • Какая у вас цель?

    04 /04
    Готово: 60%
  • Спасибо за ваши ответы

    Мы подготовим для вас предварительный расчёт и специальное предложение

    • Позвонить
    • WhatsApp
    • Telegram

    Соглашаюсь на обработку персональных данных и с условиями политики конфиденциальности

    Готово: 100%

В конце получите: предварительный расчет + скидку + подарок

Стандарт нашей работы - никакой боли и превосходный результат

  • Индивидуальный подход 3D-моделирование и расчет каждого этапа лечения. Учитываются анатомические особенности прикуса, что позволяет добиться идеального результата без неожиданностей.
  • Комфортная гигиена Низкопрофильные замки с закругленными краями. Упрощают ежедневную чистку зубов, снижают риск кариеса и воспаления десен в период активного лечения.
  • Прогнозируемый результат Цифровой контроль на всех этапах. Вы видите конечный результат улыбки еще до начала установки брекет-системы, а врач исключает ошибки в планировании.
  • Думаем о вашем комфорте Заботимся о комфортной атмосфере во время лечения. Минимизируем даже время с открытым ртом.

Цифровые слепки и виртуальное 3D - моделирование помогают точно спланировать лечение на каждом этапе.

6
показаний к применению брекетов
  • Клыки “улыбка вампира” Клыки растут из десны, перекрывая верхние передние зубы
  • Перекрестный прикус Зубы верхнего ряда неправильно смыкаются с нижними
  • Выпирающий прикус Сильное смещение нижней челюсти вперед
  • Скученность или щели Зубы находят друг на друга или есть большие щели
  • Глубокий прикус Сильное смещение нижней челюсти назад
  • Зубы не смыкаются Открытый прикус, тремы, щербинка

Красивая улыбка сейчас оплата потом

Мы предоставляем прекрасную возможность воспользоваться нашими услугами уже сейчас, а выплатить стоимость частями в рассрочку или кредит.

Брекет - системы

В нашем стоматологическом кабинете мы предлагаем широкий ассортимент брекет-систем различных производителей.

Наши опытные специалисты помогут вам выбрать наиболее подходящую брекет-систему, учитывая ваши индивидуальные особенности и финансовые возможности.

  • Лигатурные брекетыХит 28 000 ₽

    Золотой стандарт ортодонтии. Конструкция отработана до мелочей, что гарантирует стабильный результат даже в самых сложных клинических случаях.

    Время ношения: от 1 года до 3-4 лет
  • Керамические брекеты 35 000 ₽

    Керамические брекеты светлые и более эстетичные, чем металлические. Материал подбирается под естественный тон эмали, что делает его практически незаметным. Материал матовый и не создает блики на свету.

    Время ношения: от 1,5 до 2,5 лет
  • Сапфировые брекеты 80 000 ₽

    Сапфировые брекеты изготовлены из прозрачного материала, который практически незаметен на зубах, но может переливаться и создавать блик на солнечном свете. Более прочный, чем керамика. Идеален для тех, кто хочет сохранить естественный вид улыбки.

    Время ношения: от 1 года до 2 лет
  • Самолигирующие брекеты 55 000 ₽

    Самолигирующие брекеты не требуют использования резинок для фиксации, так как у них встроенный механизм самозакрепления, что позволяет снизить трение и уменьшить давление на зубы. Процесс коррекции более мягкий и менее болезненный.

    Время ношения: от 1 года до 2 лет
  • ЭлайнерыАльтернатива от 250 000 ₽

    Элайнеры – это съемные прозрачные устройства, которые используются для исправления небольших дефектов прикуса. Они представляют собой удобную и незаметную альтернативу традиционным брекетам.

    Время ношения: от нескольких месяцев до 1,5 лет

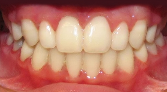
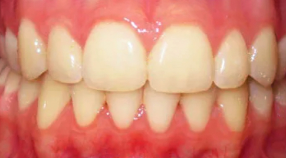
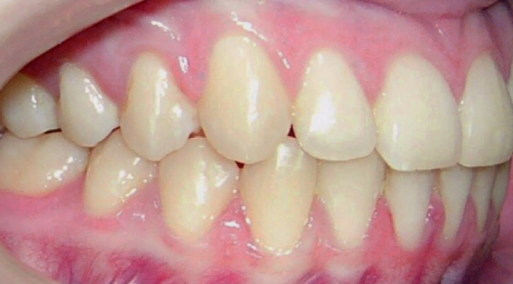
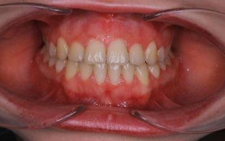
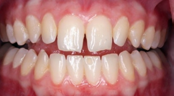
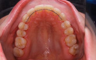
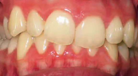
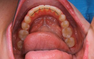
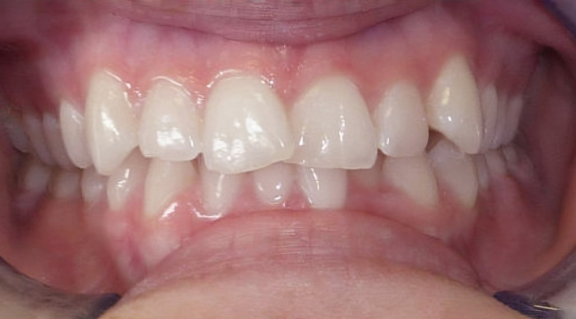
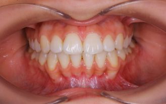
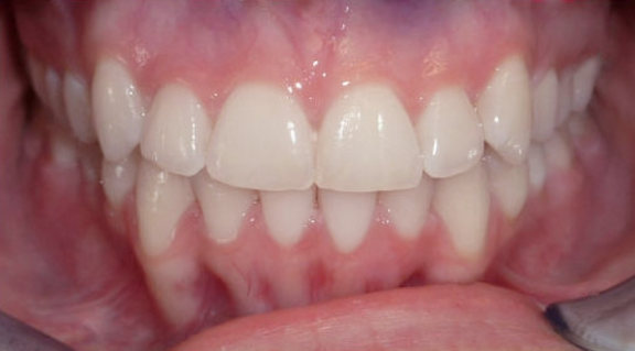
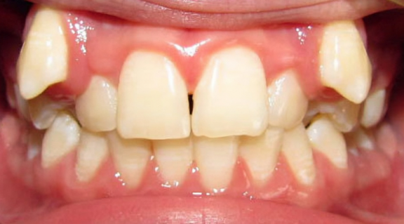
Примеры наших работ

  • до
    после

    Ортодонтическое лечение

    Ортодонтическое лечение на металлической брекет-системе

    Время лечения: 3 года (с учетом терапии)

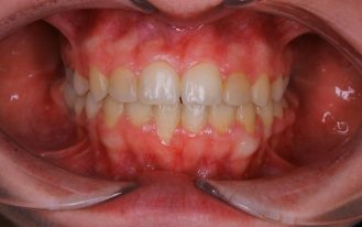
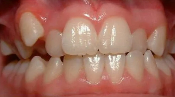
  • до
    после

    Ортодонтическое лечение

    Ортодонтическое лечение на металлической брекет-системе
    Время лечения: 2 года (с учетом терапии)

  • до
    после

    Ортодонтическое лечение

    Ортодонтическое лечение на керамической брекет-системе
    Время лечения: 2 года (с учетом терапии)

  • до
    после

    Ортодонтическое лечение

    Ортодонтическое лечение на сапфировой брекет-системе
    Время лечения: 1 год и 8 месяцев (с учетом терапии)

  • до
    после

    Ортодонтическое лечение

    Ортодонтическое лечение на комбинированной брекет-системе
    Время лечения: 1,5 года (с учетом терапии)

  • до
    после

    Ортодонтическое лечение

    Ортодонтическое лечение на комбинированной брекет-системе
    Время лечения: 2 года (с учетом терапии)

  • до
    после

    Ортодонтическое лечение

    Ортодонтическое лечение на лингвальной брекет-системе
    Время лечения: 3,5 года (с учетом терапии)

  • до
    после

    Ортодонтическое лечение

    Ортодонтическое лечение на лингвальной брекет-системе
    Время лечения: 1,5 года (с учетом терапии)

  • до
    после

    Ортодонтическое лечение

    Ортодонтическое лечение на Элайнерах
    Время лечения: 2 года (с учетом терапии)

  • до
    после

    Ортодонтическое лечение

    Ортодонтическое лечение на Элайнерах
    Время лечения: 1,5 года (с учетом терапии)

Как проводится лечение

  • Диагностика и расчеты

    Делается компьютерная томография (КТ) и пантомограмма, необходимые для оценки состояния тканей зубов, десен, положения челюстей. Затем снимается слепок или проводится интраоральное сканирование.

    Врач подбирает брекет-систему, определяет план дальнейшего лечения и составляет график коррекций.

  • Подготовка полости рта

    Врач удаляет зубные отложения, лечит кариес или воспаление. По показаниям удаляют зубы.

    Профессиональная гигиена влияет на прочность сцепления брекета с зубом.

    Проф.гигиену можно совместить с первым визитом в клинику — в один день провести диагностику и профилактику. Но совмещать комплексную чистку и фиксацию брекетов нельзя, поэтому о чистоте полости рта следует позаботиться заранее.

  • Фиксация

    Сперва зубы тщательно обрабатывают специальным раствором, чтобы обеспечить максимальное сцепление клея.

    Брекет приклеивают к зубам на клей, устанавливают дугу, которая обеспечивает необходимое давление на зубы.

    Процедура длится 1-1,5 часа.

  • Лечение и корректировки

    В процессе лечения необходимо регулярно посещать врача-ортодонта:

    • лигатурные системы — 1 раз в месяц для замены лигатур.
    • безлигатурные системы — 1 раза в 2 месяца для регулирования натяжения дуги.

    По мере выравнивания зубов проводится замена дуг, периодичность определяет ортодонт.

  • Снятие системы

    После окончания лечения брекет-систему снимают. Удаляются лигатуры или раскрываются замочки, извлекается дуга. Брекеты безболезненно снимаются специальным инструментом, поверхность зуба шлифуется.

    Процесс длится 15-20 минут.

  • Гигиена после снятия

    Проводится профессиональная гигиена после ношения брекетов:

    • Гигиеническая чистка —  для удаления налета и зубных отложений.
    • Реминерализация эмали — насыщение минералами для профилактики кариеса, укрепления и восстановления эмали.
    • Отбеливание — для эстетической привлекательности.
  • Ретенционный период

    Для закрепления зубов в определенном положении после удаления брекетов ставят прозрачную тонкую каппу или ретейнер из проволоки. Капу носят по индивидуальным условиям, которые объясняет доктор. После снятия показана профессиональная чистка или отбеливание зубов.

Расскажем все об установке брекет - систем и сориентируем по стоимости установки

Тяжельников Владимир
Юрьевич
Cтоматолог-ортодонт, гнатолог.

Соглашаюсь на обработку персональных данных и с условиями политики конфиденциальности

+7 861 298-47-83 Ежедневно с 08:00 до 20:00

стоимость установки брекет - системы

  • Консультация врача-ортодонта
    бесплатно
  • Установка металлического брекета (с предварительной гигиенической обработкой зуба)
    2 500 ₽
  • Установка брекета Damon Q (с предварительной гигиенической обработкой зуба)
    3 700 ₽
  • Установка брекета Damon Clear (с предварительной гигиенической обработкой зуба)
    4 700 ₽
  • Установка несъемного ретейнера (на 1 челюсть)
    12 000 ₽
  • Съемный ретейнер (пластинка)
    12 000 ₽
  • Лигатурные брекеты
    28 000 ₽
  • Керамические брекеты
    35 000 ₽
  • Самолигирующие брекеты
    55 000 ₽
  • Элайнеры
    от 250 000 ₽

Команда специалистов

  • Тяжельников
    Владимир Юрьевич
    Специализация Главный врач. Стоматолог-ортодонт, гнатолог.
    Стаж работы: 10+ лет
    Оказываемые услуги
    • Установка брекетов и элайнеров
    • Детская и Взрослая ортодонтия
    • Установка ортодонтической маски
    • Ортодонтическая диагностика
  • Беляева
    Ирина Владимировна
    Специализация Врач - стоматолог, ортодонт
    Стаж работы: 13+ лет
    Оказываемые услуги
    • Ортодонтическое лечение на брекетах
    • Исправление прикуса у взрослых и детей
    • Детская и Взрослая ортодонтия
  • Кобзарь
    Екатерина Юрьевна
    Специализация Врач - стоматолог, ортодонт
    Стаж работы: 6+ лет
    Оказываемые услуги
    • Ортодонтическое лечение на брекетах
    • Исправление прикуса у взрослых и детей
    • Установка брекетов и элайнеров

Отзывы о нашей работе

  • до
    после
    до
    после
    Ангелина Комбинированные брекеты

    Меня привела в эту клинику мама с сестрой, когда им ставили скобы. С брекетами проходила полтора года, мой прикус выровнялся, теперь только поддерживающие процедуры. Очень благодарна своему лечащему врачу за заботу, профессионализм, уверенность в результате. Зубы от кариеса тоже здесь лечила, и хочу сказать, что все врачи очень классные и добрые, мне всё нравится. Приходите все сюда за супер крутой улыбкой!

  • до
    после
    до
    после
    Михаил Металлические брекеты

    Меня не очень напрягали мои клыки, но были последствия неправильного прикуса в виде головной боли и щелчков. Поэтому стали всей семьей искать мне ортодонта ))) Нашли очень быстро - многие родственники и друзья лечили зубы именно здесь. Я прошел лечение и установку брекетов легко. Носить брекеты было трудно, за ними нужен уход, но результат того стоит!!! Я стал хорошо спать, да и улыбаться стало намного приятнее. Девушкам очень нравится ;) Всем советую обращаться именно в эту клинику, потому что лечение пройдет достаточно быстро, комфортно, создадут все условия для этого, так что обращайтесь именно сюда.

  • до
    после
    до
    после
    Анна Терапия и Брекеты

    Когда встал вопрос о лечении зубов, я начала искать лучшие стоматологии по всему Интернету и наткнулась на эту клинику, рейтинг и отзывы которой мне очень понравились. Сначала мне полечили здесь кариес, а потом установили брекеты, установку которых я очень ждала! Моё лечение ведет самый лучший врач, к рекомендациям которой я всегда прислушиваюсь. Огромное спасибо клинике за мою здоровую улыбку!

  • до
    после
    до
    после
    Севиль Керамические брекеты

    Пришла я в клинику по совету моей подруги, которая тоже здесь лечила зубы и тоже устанавливала брекеты. Ей здесь всё очень нравилось, ей понравился результат и мне тоже понравился её результат. Безумно рада изменениям, которые произошли за это время, потому что они были большими! Практически каждый месяц я наблюдала как меняются мои зубы и меняются они в лучшую сторону. Хочу выразить благодарность своему лечащему врачу, который взялся за мой непростой случай... Приходите тоже в данную клинику, если хотите такую же замечательную улыбку, как и у меня.

  • до
    после
    до
    после
    Кирилл Комплексное ортодонтическое лечение

    Я вообще пришел устанавливать виниры в данную клинику, но мне сказали сперва нужно зубы пролечить и выровнять. Выбрали оптимальный вариант для выравнивания зубов. Я максимально доволен результатом, сроком выполнения и комфортом носки. Так сильно мне понравился результат, что я передумал ставить виниры! Мои зубы оказываются красивые и так! Абсолютно доверяю нынешним докторам, которые здесь работают. Рекомендую приходить сюда, так как спецы работают сообща и выберут для вас то, что нужно!

  • до
    после
    до
    после
    Дмитрий Металлические брекеты

    У меня не сильно большие проблемы с зубами, но подровнять хотелось. Нашел способ невидимых брекетов - элайнеры. Интересная штуковина, на работе никто не заметил совершенно. Зато заметили изменения, когда завершилось ортодонтической лечение в вашей клинике.
    За всё время я к вам уже очень привык, приходил как к себе домой. Маму на лечение тоже сюда привел, она мне очень благодарна. А я вам! Нареканий нет совсем. Цены хорошие, отношение супер, врачи настоящие профессионалы! Всегда на связи и при любом вопросе консультируют что да как. Рекомендую эту клинику, потому что здесь всегда принимают с душой, и работают действительно профессионалы.

Альтернативные методы исправления прикуса

  • Элайнеры

    Полупрозрачные каппы из медицинского пластика или силикона

    Элайнеры носят в течении дня, периодически снимая для приема пищи. Каждая каппа создается индивидуально и надевается строго поэтапно лечению.

  • Трейнеры

    Съемные аппараты, которые корректируют функциональные нарушения у взрослых

    Конструкция жесткая, чтобы создать нужное давление.

  • Виниры

    Пластинки для коррекции формы и цвета зубов в зоне улыбки

    Можно замаскировать (исправить) прикус только в тех случаях, когда они выражены не сильно.

  • Пластинки

    Это съемные конструкции с пластиковым основанием и металлическими дугами.

    Применяются чаще у детей. Пластинки корректируют форму челюсти, изменяют положение резцов.

Лечим пациентов изо всех уголков России и других стран

  • Пришлите нам свой снимок КТ на электронную почту и опишите что вас беспокоит

    Дистанционная консультация врача

  • Врач свяжется с вами, уточнит необходимые детали и предложит предварительный план лечения

    Предварительный план лечения

  • Поможем с организацией приезда и проведем лечение в согласованный срок

    Приезд и лечение

  • Врач будет на связи и поможет с решением любых вопросов для достижения отличного результата

    Контрольпосле отъезда

Отвечаем на ваши вопросы

  • Обязательно ли делать чистку перед установкой брекетов?

    Чистка ― обязательная часть подготовки к коррекции прикуса. Ношение брекетов ухудшает гигиену зубов. Поэтому при подготовительных процедурах эмаль очищают и принудительно насыщают минералами для снижения риска развития кариеса. Обычно гигиену у терапевта совмещают с консультацией ортодонта в одно посещение. Пациент проходит первичный осмотр у ортодонта, который снимает слепки, делает снимки, планирует дату установки аппарата. А затем переходит в кабинет врача-гигиениста.

    Тяжельников Владимир Юрьевич Cтоматолог-ортодонт, гнатолог., стаж 10+ лет
  • Сколько времени займет установка брекетов?

    Время установки брекетов зависит от сложности каждого индивидуального случая, но обычно процедура занимает от 1 до 2 часов.

    Тяжельников Владимир Юрьевич Cтоматолог-ортодонт, гнатолог., стаж 10+ лет
  • Будет ли больно устанавливать брекеты?

    Во время установки брекетов пациент может ощущать некоторое давление и неприятные ощущения. Но сама процедура установки брекет-системы не вызывает болезненных ощущений.

    Тяжельников Владимир Юрьевич Cтоматолог-ортодонт, гнатолог., стаж 10+ лет
  • Как часто нужно будет посещать врача для регулировки брекетов?

    Обычно необходимо посещать врача каждые 4-6 недель для регулярной коррекции брекетов, либо заменой деталей, если есть необходимость.

    Тяжельников Владимир Юрьевич Cтоматолог-ортодонт, гнатолог., стаж 10+ лет
  • Какая польза от ортодонтического лечения?

    1. Проще чистить зубы
    -Чем меньше труднодоступных зубных участков, тем лучше вы чистите зубы.
    2. Красивая безупречная улыбка
    -Ровные безупречные зубы дарят большую уверенность и желание улыбаться чаще!
    3. Перекрестный прикус приводит к головным болям, напряжению в челюстях и трещинам в зубах. Ортодонтическое лечение менять прикус и соответственно снимает лишнюю нагрузку с челюсти.
    4. Заметное улучшение дикции, речи.
    5. Зубы с правильным прикусам более эффективно перерабатывают пищу, соответственно после ортодонтического лечения улучшается вся система пищеворения.

    Тяжельников Владимир Юрьевич Cтоматолог-ортодонт, гнатолог., стаж 10+ лет
  • Как долго нужно носить брекеты, прежде чем можно будет их снять?

    Срок ношения брекетов зависит от индивидуальных особенностей пациента и его ортодонтического случая, но обычно процесс занимает от 1 до 3 лет.

    Тяжельников Владимир Юрьевич Cтоматолог-ортодонт, гнатолог., стаж 10+ лет
  • Могу ли я есть любую пищу после установки брекетов?

    Рекомендуется избегать твердой и липкой пищи, чтобы предотвратить повреждение брекетов. Подробнее о диете после установки брекетов вы можете узнать у врача.

    Тяжельников Владимир Юрьевич Cтоматолог-ортодонт, гнатолог., стаж 10+ лет
  • Как часто нужно чистить зубы при наличии брекетов?

    Чистить зубы следует после каждого приема пищи, чтобы избежать образования налета и кариеса. Используйте для очищения зубов специальные щетки, ершики, суперфлосс или ирригатор. Подробнее об уходе за брекетами конкретно в вашем случае расскажет врач на консультации.

    Тяжельников Владимир Юрьевич Cтоматолог-ортодонт, гнатолог., стаж 10+ лет
  • Можно ли самому выбрать тип ортодонтического лечения?

    Конечно. На консультации врач-ортодонт предложит вам несколько путей ортодонтического лечения, среди которых вы можете выбрать свой вариант.

    Тяжельников Владимир Юрьевич Cтоматолог-ортодонт, гнатолог., стаж 10+ лет
  • В чем разница между лечением Элайнерами и Брекетами?

    Основные различия между Элайнерами и Брекетами:

    1. Элайнеры - это съемное ортодонтическое лечение, а Брекеты - несъемное.
    2. Элайнеры гораздо дороже, чем Брекеты (примерно в 3-5 раз).
    3. Элайнеры требуют большой самодисциплины от пациента: нужно менять ночные и дневные каппы, снимать/мыть/надевать снова во время приема пищи, их нужно носить 20-22ч в день.
    4. Элайнеры практически незаметны на зубах, также не мешают обычному режиму питания.
    5. При лечении Элайнерами и Брекетами нужно наблюдаться регулярно у врача-ортодонта каждые 1-2месяца.

    Тяжельников Владимир Юрьевич Cтоматолог-ортодонт, гнатолог., стаж 10+ лет

Приготовьтесь увидеть свою красивую улыбку

Виртуальное 3D цифровое моделирование сразу покажет как будут выглядеть ваши ровные зубы еще до лечения

Соглашаюсь на обработку персональных данных и с условиями политики конфиденциальности

Выберите удобное для вас расположение клиники

  • Клиника на Московской
  • Клиника на Героя Николая Шевелёва
  • Клиника на Героя Бочарникова

Поможем вашей улыбке засиять

Запишитесь на бесплатную консультацию к специалисту прямо сейчас

Соглашаюсь на обработку персональных данных и с условиями политики конфиденциальности